削らない白斑治療「アイコン」
アイコンについて
歯の表面の白い斑点は、専門用語ではホワイトスポットと呼ばれていますが、実はこれは初期虫歯に分類されるものが多いです。
ホワイトスポットは、歯の表面のエナメル質が酸性になることによって、エナメル質のカルシウム成分が少なくなり、脱灰という虫歯の初期症状を起こして、白濁してしまう現象です。
従来までは白い部分を削ってプラスチックで詰める、カルシウムを補う歯磨き粉を使用する、ガムを噛む、さらには大きくセラミックをかぶせるなどの方法しかありませんでした。
アイコンは、酸によって脱灰したエナメル質に薬剤をしみこませることによって、歯を削ることなく、また早期にホワイトスポットを改善させ、エナメル質からミネラルが溶け出すのを防ぎます。また、アイコンはエナメル質を補強して酸性になるのを防ぎ、ホワイトスポットの再発を防止する効果もあります。
また虫歯以外にも外傷や先天性など様々な原因でホワイトスポットになることもあります。
アイコンの特徴
歯をほとんど削らない従来のホワイトスポット治療のように、白い斑点の部分を削って詰める治療ではありませんので、歯はほとんど削りません。
痛みが少ないアイコン治療では歯はほとんど削りませんので、麻酔も必要なく、痛みもほとんどありません。
効果が早いアイコンはその場で薬剤をしみこませるため、早ければ1回の治療でホワイトスポットが改善します。(効果には個人差があります)治療時間は約1時間です
歯を強化する効果もあるエナメル質に液状のプラスチック樹脂を浸透させるので、エナメル質を強化する効果も期待できます。
アイコンの注意点
白斑の程度が強い場合は効果が得られにくいこともあります。
経年的に少し色が戻る場合があります。
ホワイトニングをしたい場合は先にしておく必要があります。
ラバーダムをするため低年齢では時期を待つ場合があります。
歯牙が既に削れている場合は適応にならない場合があります。
アイコン治療の流れ
※イラストはhttps://service.yoshida-dental.co.jp/ca/series/10999/docより引用。
1前処理
治療箇所以外を保護するラバーダムを装着し、前処理としてアイコン・エッチ塗布します。
2水洗・乾燥
30秒以上水洗いして、エアーで乾燥させます。
3さらに乾燥
アイコン・ドライを塗布し、処置部分をさらに乾燥させます。
4塗布
エナメル質を補強するアイコン・インフィルトラントを塗布します。
5重合
光重合器の特殊な光で硬化させます。
6塗布
アイコン・インフィルトラントを塗布します。
7硬化
光重合器の特殊な光を照射し、硬化させます。
アイコン治療例
治療例を掲載致します。お気軽にご相談ください。
※部位表記は患者様本人から見て、中心から1.2.3....と数えます。
※掲載費用は参考費用となりますので、症例により変動します。必ずご相談下さい。
※画像クリックで拡大表示。
上顎左右中切歯と上顎左右犬歯の重度白斑
20代女性。上顎前歯、犬歯の重度白斑による審美障害を主訴に相談。上顎のホワイトニングを行った後に上顎左右中切歯と上顎左右犬歯のアイコン治療。治療期間:ホワイトニング2週間 アイコン治療2回
アイコン治療 4万円×4歯 ホワイトニング3万円(税別)
- 実質欠損の凹みは残ります。
- 定期的なクリーニングは必要となります。
- 長期的に診て色の変化が出る場合があります。
上顎左右中切歯の重度白斑
10代女性。上顎前歯の重度白斑による審美障害を主訴に相談。上顎左右中切歯にアイコン治療を施行。 治療期間:アイコン治療1回約60分
アイコン治療 4万円×2歯(税別)
- 実質欠損の凹みは残ります。
- 定期的なクリーニングは必要となります。
- 長期的に診て色の変化が出る場合があります。
重度ブラウンスポット
ホワイトスポット
20代女性。右上1重度ブラウンスポットと左右1ホワイトスポット。ホワイトニングを長期行いブラウンスポットを消しその後アイコン治療を施工。
治療期間:ホワイトニング3ヶ月 アイコン治療:左右1回ずつ
アイコン治療 2歯 8万円・ホワイトニング3万円(税別)
- ホワイトニングによる知覚過敏と後戻りの可能性が出ることがあります。
ブラウンスポット
ホワイトスポット
20代女性。上顎左右1ブラウンスポットとホワイトスポット。ホワイトニングを2週間行いブラウンスポットを消失後アイコン治療を施工。
治療期間:ホワイトニング2週間 アイコン治療:1回
アイコン治療 2歯 8万円・ホワイトニング3万円(税別)
- ホワイトニングによる知覚過敏と後戻りの可能性が出ることがあります。
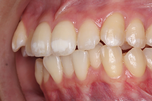
上顎左右1
上顎左右1にホワイトスポット治療を行なった。
アイコン治療 2歯 8万円(税別)
- 実質欠損部の凹みは残ります。
- 定期的なクリーニングが必要です。
- 長期的に見て色の変化が出る場合があります。
右上1
実質欠損のホワイトスポット。ホワイトニング後にアイコン治療実施。
アイコン治療 1歯 4万円・ホワイトニング3万円(税別)
- 実質欠損部の凹みは残ります。
- 定期的なクリーニングが必要です。
- 長期的に見て色の変化が出る場合があります。
白斑+ブラウンスポット
右上2 左上12。まずホワイトニングを行いブラウンスポットを薄くした後にアイコン治療を行いました。
アイコン治療 3歯 12万円・ホワイトニング3万円(税別)
- 実質欠損部の凹みは残ります。
- 定期的なクリーニングが必要です。
- 長期的に見て色の変化が出る場合があります。
